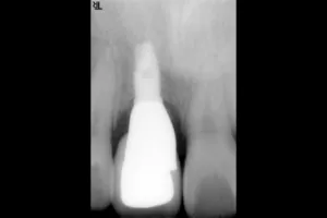
症例①



| 主訴 | 永久歯が生えてこない |
|---|---|
| 診断名 | 後続永久歯欠損 |
| 年齢 | 25歳 |
治療に用いた装置(治療法) | インプラント |
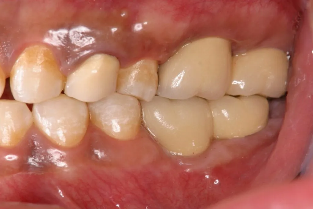
| 部位 | 右上4 |
| 治療期間 | 5か月 |
| 治療費用 | 462,000円 |
| リスク・副作用(治療に関する) | 腫脹、しびれ |
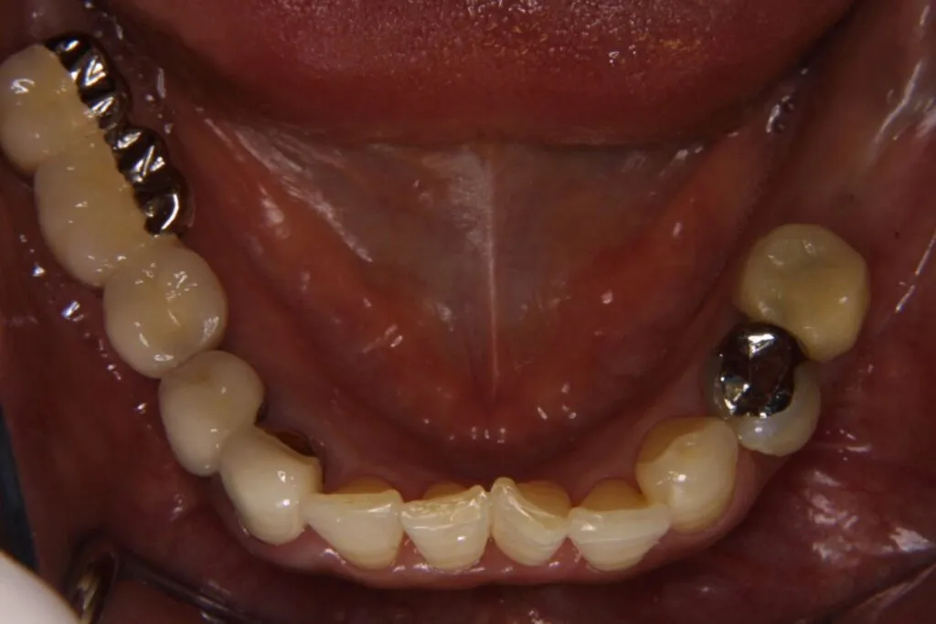
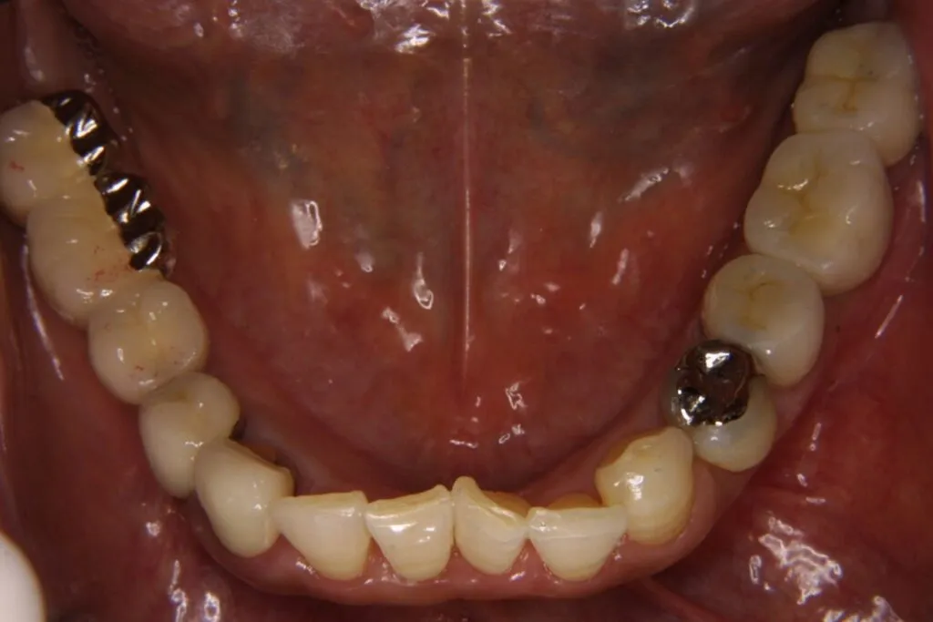
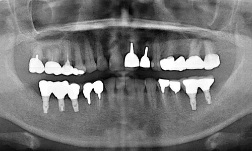
症例②



| 主訴 | 食事ができない |
|---|---|
| 診断名 | 咀嚼障害 |
| 年齢 | 58歳 |
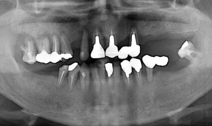
治療に用いた装置(治療法) | 上顎:オールオン6 |
| 部位 | 上顎:右上7・右上5・右上2・左上4・左上5・左上6 下顎:右下7・右下6・左下5・左下6・左下7 |
| 治療期間 | 1年 |
| 治療費用 | 上顎:3,800,000円 下顎:2,310,000円 |
| リスク・副作用(治療に関する) | 腫脹しびれ |
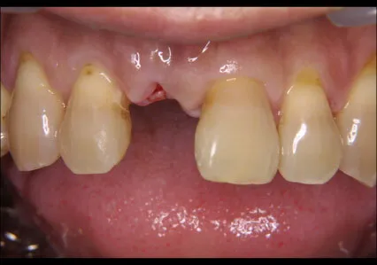
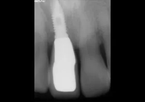
症例③



| 主訴 | 他院にて抜歯後、歯を入れたい |
|---|---|
| 診断名 | 歯根破折 |
| 年齢 | 46歳 |
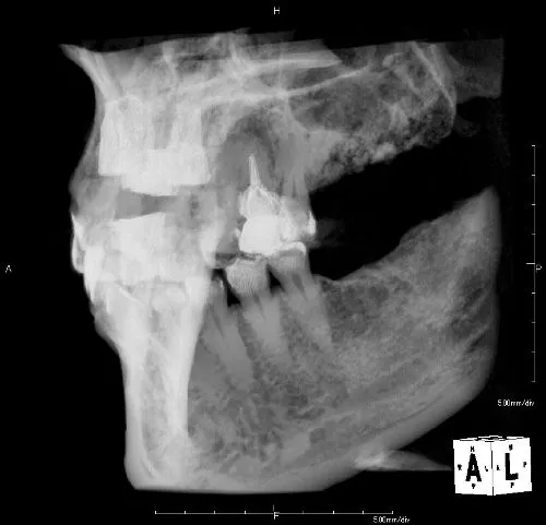
治療に用いた装置(治療法) | 骨造成・インプラント |
| 部位 | 右上1 |
| 治療期間 | 8か月 |
| 治療費用 | 造成:55,000円 インプラント:462,000円 |
| リスク・副作用(治療に関する) | 腫服、しびれ |
症例④



| 主訴 | 食事ができない |
|---|---|
| 診断名 | 咀嚼障害 |
| 年齢 | 66歳 |
治療に用いた装置(治療法) | オールオン6 |
| 部位 | 右上6・右上3・右上1・左上1・左上3・左上6 |
| 治療期間 | 8か月 |
| 治療費用 | 3,800,000円 |
| リスク・副作用(治療に関する) | 腫脹、しびれ |
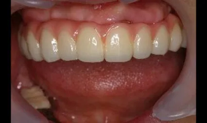
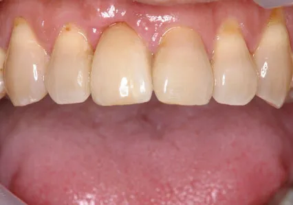
症例⑤



| 主訴 | 他院にて抜歯後、歯を入れたい |
|---|---|
| 診断名 | 歯根破折 |
| 年齢 | 21歳 |
治療に用いた装置(治療法) | インプラント |
| 部位 | 右上1 |
| 治療期間 | 5か月 |
| 治療費用 | 462,000円 |
| リスク・副作用(治療に関する) | 腫脹、しびれ |
症例⑥




| 主訴 | Br 脱離 |
|---|---|
| 診断名 | 歯根破折 |
| 年齢 | 59歳 |
治療に用いた装置(治療法) | インプラント |
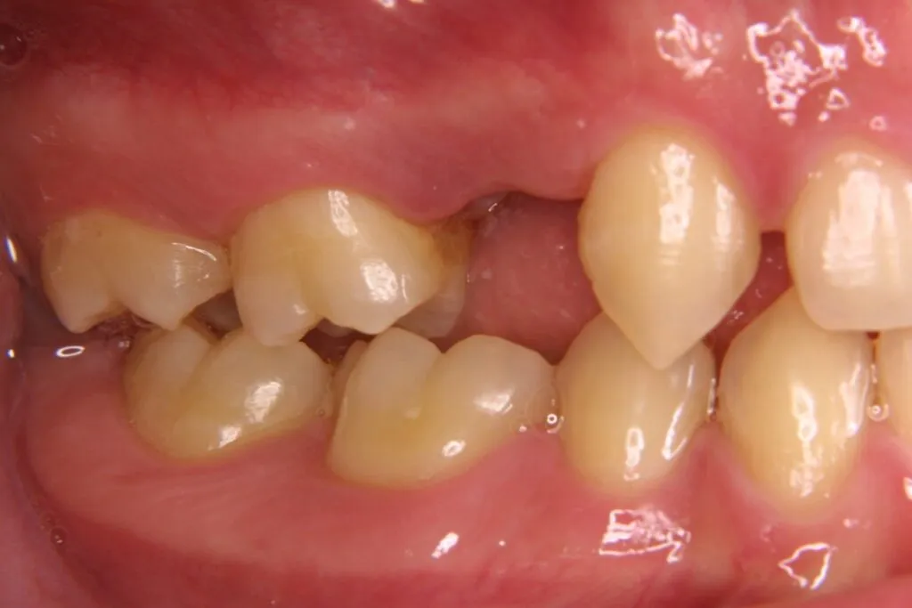
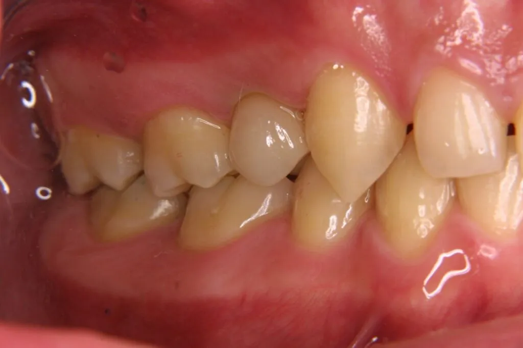
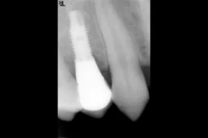
| 部位 | 左下6・左下7 |
| 治療期間 | 5か月 |
| 治療費用 | 924,000円 |
| リスク・副作用(治療に関する) | 腫脹、しびれ |
症例⑦




| 主訴 | 残根状態 歯を入れたい |
|---|---|
| 診断名 | 咀嚼障害 |
| 年齢 | 29歳 |
治療に用いた装置(治療法) | インプラント |
| 部位 | 左上6・左上7・左下6・左下7 |
| 治療期間 | 8か月 |
| 治療費用 | 1,848,000円 |
| リスク・副作用(治療に関する) | 腫脹、しびれ |
※治療費用はすべて税込み金額
骨造成:55,000円~
インプラント1本:462,000円
(上部構造費を含む)